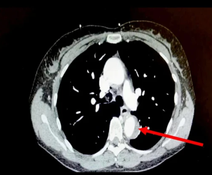
Doctors diagnosed the woman with a leak in her aorta
A woman in Mississippi almost died during sex after she felt a “pop” when having an orgasm that was actually a torn aorta, the largest artery that transports blood around the body.
The remarkable case was recorded in the American Journal Case Report, where the unnamed woman’s story was documented in detail. According to the report, the 45-year-old woman from Hattiesburg, Mississippi, rushed to the emergency room complaining of “stabbing” chest pains which she ranked “10 out of 10.”
The woman told medics that she had been “having sexual intercourse with her husband” with her legs pressed against her chest when she experienced an orgasm.

After hearing the eerie sound, the woman also complained of nausea and shortness of breath. Hospital staff checked her vitals and discovered that she had a blood pressure of 220/140 mmHg. On average, a woman of her age will typically have a heart rate between 120 and 180.
“The patient had a past medical history of hypertension and … admitted to an approximately 17-year history of tobacco abuse, stating she currently smoked 6 to 7 cigarettes daily,” the report explained.
Doctors diagnosed the woman with a leak in her aorta, which is medically known as acute aortic syndrome or AAS. However it didn’t stop there, and specialists found that she’d experienced an aortic intramural hematoma which has a fatality rate of 40 per cent.
She was prescribed morphine and fentanyl for the pain.
Doctors noted how unusual the case is as AAS is typically more common in men, while also acknowledging that cardiac events are more common during sexual activity.
“The risk of sudden cardiac death also shows similar patterns, with an incidence reported at 0.19% in men and 0.16% in women, often noted during masturbation, sexual interaction with prostitutes, or extramarital sexual activity,” it reads.
“As previously mentioned, the risk of sudden cardiac death during sex has a correlation with adultery, which could be provoking an intensified or unforeseen emotional response that makes a person more predisposed to AAS or sudden cardiac death.”
Related links:
- Inbetweeners star Joe Thomas has been in a relationship with his co-star for over 10 years
- Christina Ricci says Johnny Depp told her ‘very matter of factly what homosexuality was’ when she was 9
- Teacher’s sex abuse sentence delayed after she gives birth
