Some of the pieces removed from the man’s penis were 16cms long
A man may never be able to use his penis again after his partner accidentally sprayed expanding foam up his urethra in a sex act gone wrong.
The 45-year-old American, who was struggling with impotence, had to have a new opening cut between his scrotum and his anus to urinate out of after the foam hardened and because stuck.
The story was detailed in Urology Case Reports in an article headlined: Urinary tract foreign body: A case of panurethral and intravesical spray foam insulation.
The unidentified man and his partner had been inserting various objects into the opening of his penis during sex, the report states, in a misguided attempt to treat his erectile dysfunction.
The accident that saw him hospitalised happened after his partner tried to use the straw of a can of weatherproofing spray to keep him erect and accidentally hit the button on top of the can, sending foam shooting inside his penis.
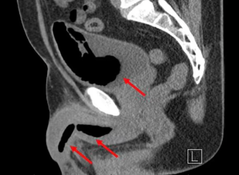
When the foam hardened the man was left with several masses inside his penis and bladder. A CT scan later revealed some of them were up to 11cm long and 4.3cm wide.
Related links:
- Man’s penis ‘shrank more than an inch due to covid’
- Man with world’s biggest penis says Oscar winner slid into his DMs
- Tiny dicks might become popular again, according to experts
- Man, 25, dies after ‘using glue to seal his penis shut instead of a condom’
- Man poos out of penis and ejaculates from bum due to health condition
- ‘My small penis destroyed any hope of falling in love and having a family’
While medics managed to extract the foam from the man’s bladder, removing it from his penis proved more difficult as the man suffered from urethral stricture disease, a condition where the urethra becomes scarred and narrow. The scars held the foam in place.
Unable to pull the object out of the opening of the man’s penis, doctors had to cut a hole in the man’s perineum – the area between the scrotum and the anus – to access them in a procedure called a perineal urethrostomy. The procedure diverts the urine stream away from the penis, with the new hole behind the scrotum used to expel urine.

The man, who is currently homeless, had waited three weeks to seek treatment and by the time he was admitted, was passing blood, the report said. He is expected to undergo further surgery to repair his urethra but only after a psychiatric assessment.
Urologists told the MailOnline that ‘sounding’, where men insert various objects into the opening of their urethra, was becoming an increasingly common “home-remedy” among impotent men.
The authors of the report said it was rare for objects to get stuck in penises, but noted that other items, such as straws, cotton-tipped swabs, batteries or nails, and cables had been reported.
Reasons for insertions could vary from a mental condition, to sexual gratification, to prisoners intentionally doing so to gain temporary release from prison for medical treatment, the urologists said.
